ごあいさつ


患者さんには
笑顔で帰ってもらえるように
一般的に歯医者に来る際にみなさんは痛い思いや、不快感、病を抱えていらっしゃいます。
そんな時、患者さんをお迎えする歯科医院側の私たちが笑顔で、元気で、健康でいなければ患者さんをしっかり治療したり、治療後に悩みを解消して笑顔で帰ってもらうことは出来ないと考えております。
技術面はもちろんのことですがスタッフ一同笑顔で、元気に、健康に患者さんをお迎えし、治療後には笑顔で帰っていただけるような歯科医院の体制を心掛けております。


押し付けの治療ではなく、見える治療を
歯医者が苦手な理由は色々あると思います。「痛い」「薬っぽいニオイがイヤ」「キィーンという歯を削る音がイヤ」 口の中という自分では見えにくい空間を、十分な説明もなく、不安なまま治療を進められるというのが歯医者嫌いになってしまう一番の要因ではないでしょうか?
当院では初診時にしっかりしたカウンセリングを行い、治療前後のお口の中を写真に撮り、目に見える治療を行っております。
治療に際しても歯科医、歯科衛生士ともサージテルという10倍の拡大鏡を使用しております。
歯科衛生士が検診時にも拡大鏡を使用しているのは日本ではまだ少ないといえます。
歯科医師が自分の歯科治療を他の歯科医師に任せる時、裸眼での治療は細部の見落としにつながるため拡大鏡を着用しての治療はグローバルスタンダードになりつつあります。


痛みの少ない快適な治療を
例えば麻酔ひとつをとってもそうです。
麻酔を注入する際も痛みを抑えるためには表面麻酔を施し、圧力を抑えるためにはゆっくりと一定量での注入が必要です。(注入の際の圧力が痛みの原因のひとつとなる)さらに、麻酔が効くまでしっかりと時間をとってから治療に入る必要があります。
当院では患者さんひとりひとりに十分な時間をとった治療を行っておりますので安心してご来院ください。
クリニック案内
多摩センター田中歯科医院(本院)


多摩センター田中歯科医院第二診療室


院内ツアー
患者様に最大限配慮した歯科治療

多摩センター田中歯科医院(本院)、多摩センター田中歯科医院第二診療室ともに、個々の診察スペースを十分に保ち患者様にゆったりと快適に治療を受けて頂ける様努めております。
また、電子カルテシステムを導入する事で受付から診察、お会計までの情報を全て一括管理しておりますので患者様をお待たせしません。
『院のユニットは全て窓側に設置し、景色を眺めながらリラックスして頂けます。』
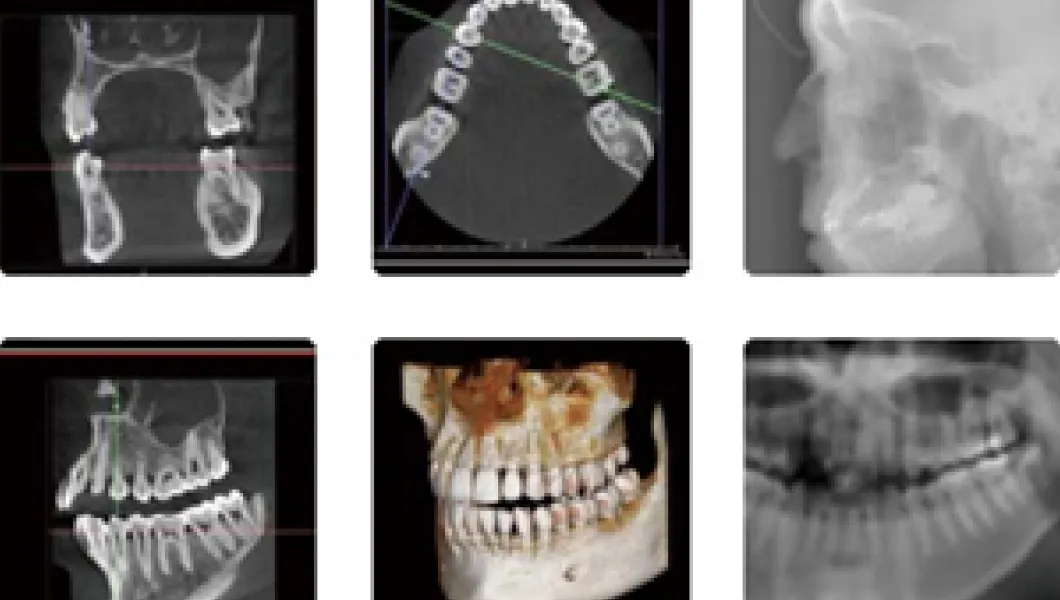
世界最高峰のX線CT診断装置Fine Cube E2を導入

今までの一般的なレントゲンで見ていたものは平面的な画像でしかありませんでした。
虫歯や歯周病、顎関節の病態をおおまかに捉えることは可能ですが、あくまでも影絵なので、骨の幅や形などを見ることは絶対にできません。
対してCTは立体的にこれをとらえることができるため歯科医師はさらに詳細に診断を行えますし、説明を受けられる患者さんにもご自身の現状をわかりやすく伝えることができます。
なるべく痛くない治療(無痛治療)

当院では、なるべく痛くない治療を心がけております。
麻酔処置も段階に分け、表面麻酔まず行い、そのあとに麻酔液を注入します。
また、使用する麻酔針は刺入時の摩擦を軽減するため、超極細のものを使用しております。
尚、麻酔液は温めて使用することで、麻酔処置の痛みをさらに軽減できます。
レーザー治療

レーザー治療機器にて、虫歯の治療・予防、知覚過敏、歯周病治療、歯茎の黒ずみ除去、口内炎などの痛みの緩和などの治療を行っております。 レーザー治療はほとんど痛みも無く、患者様のお身体への負担も少ないものです。
※お痛みの感じ方には個人差がございます。
※症例によってはレーザー治療が適さない場合もございます。
怖くない歯科治療(笑気麻酔)

笑気麻酔とは笑気ガスと言われる鎮静効果のあるガスを吸入するだけの簡単なリラックス法です。
恐怖心や不快感といった精神的ストレスから開放され、局部麻酔などの刺激に対してはあまり痛みを感じなくなるので、痛みに弱い患者様にも効果的な方法です。
また、血中からの排せつも早く数分でお帰り頂く事が可能です。
『笑気麻酔でリラックス治療』
細部まで丁寧な歯科治療

歯科用の拡大鏡を用い、細部まで丁寧な治療を行っております。
歯周病治療としては綿密な検査の上、丁寧に歯石取りなどを行っております。
『歯科用拡大鏡(スコープ)』
院長・スタッフの紹介
ドクターの紹介
田中 亜季郎 理事長

プロフィール
- 血液型
- A型
- 星座
- 乙女座
- 趣味
- ドライブ/ゴルフ/トレーニング
- 出身大学
- 鶴見大学
経歴
- H26
- 5-D Japan 第5期ファンダメンタルコース(ペリオ・インプラントコース)修了
- H26
- 5-D Japan 第5期ファンダメンタルコース(エンドコース)修了
- H28
- 5-D Japan デンチャーコース修了
- H28
- 5-D Japan ペリオ・インプラントサポーター
- H28
- 5-D Japan ハワイカダバーコース修了
- R4
- 5-D Japan アドバンスコース 修了
メッセージ
お口の中がいつまでも健康であり、皆様のQOLの向上に貢献していきたいと思っております。 お口の中のお悩みについてお気軽にご相談ください。
青木 義一 歯科医師


専門分野
- 一般歯科全般
所属学会
- 日本歯周病学会
メッセージ
なるべく抜かず、削らずご自分の歯を長く保つ為の保存療法に力を注いでいます。
永井 俊士 歯科医師


プロフィール
- 血液型
- A型
- 趣味
- バスケットボール
- 出身大学
- 鶴見大学
メッセージ
患者様一人一人に合った治療、丁寧な説明を心掛けています。
お気軽にご相談ください。
菱沼 快斗 歯科医師


プロフィール
- 星座
- 魚座
- 趣味
- ゴルフ、筋トレ
- 出身大学
- 鶴見大学
メッセージ
身体の健康はお口から日々の健康のために、まずは検診から!
お気軽に来院してください お待ちしてます
藤田 久志 歯科医師


プロフィール
- 星座
- 魚座
- 趣味
- ゴルフ、掃除
- 出身大学
- 鶴見大学
メッセージ
美しさは内側から
QOLの向上をまずはお口から意識し高めていきましょう
大澤 賢 歯科医師


プロフィール
- 星座
- 天秤座
- 趣味
- 旅、食べ歩き
- 出身大学
- 日本歯科大学
メッセージ
お口は生活や全身と紐付いています。
その繋がりに関心を持って頂き、それぞれの方に合った治療方針を提案出来ればと考えております。
田渕 康允 歯科医師 根管治療専門医


プロフィール
- 星座
- 獅子座
- 趣味
- 釣り、マリンスポーツ
- 出身大学
- 東京科学大学(東京医科歯科大学)
メッセージ
精密根管治療(歯の神経の治療)を担当させていただいております。
患者さまに利益のある根管治療・歯内療法の提供を心がけております。
平川 あかね 歯科医師 矯正専門医


プロフィール
- 星座
- 射手座
- 趣味
- 海外旅行、息子と遊ぶこと
- 出身大学
- 大阪大学(大阪大学大学院矯正科卒業 博士号取得)
メッセージ
お子さまから大人の方まで、安心していただける丁寧な治療を心がけています。
お気軽にご相談ください。
スタッフの紹介
市川 愛子 歯科衛生士


プロフィール
- 血液型
- A型
- 星座
- 牡牛座
- 趣味
- お菓子作り
メッセージ
患者様になるべく痛みなどがないような治療を心がけています。
何かお口のお悩みありましたら御相談ください。
伊藤 弓子 歯科衛生士


プロフィール
- 血液型
- A型
- 星座
- 乙女座
- 趣味
- 料理
メッセージ
患者様に寄り添い、ご年齢、生活環境等に配慮しながら、
虫歯、歯周病の予防をしてまいります。
アクセス

多摩センター田中歯科医院(本院)


- 医院名
- 多摩センター田中歯科医院(本院)
- 電話番号
- 042-373-0511
- 住所
- 〒206-0034
東京都多摩市鶴牧1-24-1新都市
センタービル3F
| 診療時間 | 月 | 火 | 水 | 木 | 金 | 土 | 日 | 祝 |
|---|---|---|---|---|---|---|---|---|
| 09:00~13:00 | ● | ● | ● | ● | ● | ● | ||
| 15:00~19:00 | ● | ● | ● | ▲ | ▲ | ▲ |
※▲: 13:00~18:00 ※水曜日・祝祭日は休診
多摩センター田中歯科医院第二診療室


- 医院名
- 多摩センター田中歯科医院第二診療室
- 電話番号
- 042-337-6480
- 住所
- 〒206-0033
東京都多摩市落合1-35
ライオンズプラザ多摩センター3F
| 診療時間 | 月 | 火 | 水 | 木 | 金 | 土 | 日 | 祝 |
|---|---|---|---|---|---|---|---|---|
| 09:00~13:00 | ● | ● | ● | ● | ● | ▲ | ||
| 15:00~19:00 | ● | ● | ● | ● | ● | ▲ |
※※土曜日▲:9:00~12:00/13:00~18:00
※日曜日・祝祭日は休診
口腔管理体制強化加算とは
― 生涯にわたりお口の健康を見守る「かかりつけ歯科医院」として ―
多摩センター田中歯科医院は、厚生労働省が定める厳しい基準を満たし、「口腔管理体制強化加算(口管強)」の認定を受けています。
これは、むし歯や歯周病を「治す」ことにとどまらず、「防ぐ」ことを重視した新しい歯科医療体制です。
定期的なメンテナンスを通して、患者様一人ひとりの生涯にわたる口腔の健康をサポートできる医院だけが認められます。
「治療」から「予防」へ――新しい歯科医療のかたち
これまでの歯科医療は、痛みが出てから通院する「治療中心」型が主流でした。
しかし近年は、「痛くなる前に防ぐ」予防中心の医療へと大きくシフトしています。
「口管強」はその変化を後押しする国の制度であり、歯の寿命を延ばし、全身の健康維持にも貢献する取り組みです。
多摩センター田中歯科医院では、患者様の生活習慣・年齢・リスクに合わせた個別の予防プログラムを立案し、治療後の再発防止まで一貫してサポートしています。
「口管強」認定医院で受けられる主なサポート
1. むし歯の早期予防と管理
むし歯は初期の段階で発見・管理することが何より大切です。
多摩センター田中歯科医院では、むし歯リスクの高い方にはフッ素塗布を毎月保険内で実施し、歯質を強化することで再発を防ぎます。
小さな変化も見逃さず、患者様の「将来の歯」を守るサポートを行っています。
2. 歯周病の再発防止と定期メンテナンス
歯周病は一度治療しても再発しやすい病気です。
そのため、治療後も定期的なメンテナンスを保険で継続的に行えるのが「口管強」の大きな特徴です。
歯石除去・歯面清掃・歯ぐきの健康チェックなどを通して、長期的に健康な口腔環境を維持します。
3. 通院が難しい方への訪問歯科診療
高齢の方や身体の不自由な方など、通院が難しい患者様のために訪問歯科診療も行っています。
ご自宅や施設での口腔ケア、入れ歯の調整、嚥下機能の確認などを実施し、地域全体の健康維持に貢献しています。
「口管強」認定のための体制と安全管理
「口腔管理体制強化加算」として認定を受けるためには、厚生労働省が定める複数の条件を満たす必要があります。
多摩センター田中歯科医院では以下の体制を整え、患者様に安心して通っていただける環境を実現しています。
- 複数の歯科医師・歯科衛生士による継続的な診療体制
- 一定数以上の歯周病治療・フッ素塗布の実績
- 訪問診療・地域医療機関との連携体制
- 高齢者や緊急時にも対応できる研修修了医師の在籍
- AED・パルスオキシメーター・酸素供給装置などの救急設備の常備
これらの取り組みを通じて、当院は地域の皆さまに「安心・安全で信頼できる歯科医療」を提供しています。
地域に根ざした「かかりつけ歯科医」として
多摩センター田中歯科医院は、地域の皆さま一人ひとりの口腔健康を守るパートナーとして、
「治療」から「予防」へ、「通う歯科医院」から「支える歯科医院」へ進化し続けています。
これからも患者様の生涯にわたるお口の健康維持を使命として、安心して通える体制を整えてまいります。
多摩センターについて
1. 多摩センターエリアの概要
多摩センターは、東京都多摩市の中心部に位置する計画都市で、豊かな自然環境と都市機能が調和した人気のエリアです。
都心へのアクセスに優れながらも落ち着いた雰囲気があり、家族連れや子育て世代にも人気があります。
京王相模原線・小田急多摩線・多摩モノレールの3路線が乗り入れており、新宿や渋谷、立川方面への交通の便も良好です。
駅周辺には商業施設や行政機関、文化施設が集まり、日常生活に必要な機能がすべて揃っています。
2. 多摩センターの歴史
多摩センターは、1970年代に多摩ニュータウンの開発とともに誕生しました。
それ以前はのどかな里山が広がる地域でしたが、都市計画のもとで住宅・商業・教育施設が整備され、
現在では東京西部を代表する副都心のひとつとして発展しています。
「多摩センター駅」は1974年に開業し、以後、駅周辺を中心に街並みが整備されてきました。
整然とした街路や緑豊かな歩道は、長年住み続ける方にも人気の理由です。
3. 観光・文化スポット
-
パルテノン多摩
多摩市の文化芸術の中心として、コンサートや展示会、講演会などが行われる複合文化施設です。
-
サンリオピューロランド
多摩センターのランドマーク的存在で、ハローキティをはじめとした人気キャラクターに会える屋内型テーマパーク。
ファミリー層を中心に、国内外から多くの観光客が訪れます。 -
多摩中央公園
駅から徒歩すぐの場所に広がる自然豊かな公園で、池や芝生広場があり四季を感じながら散歩やピクニックが楽しめます。
-
乞田川(こったがわ)沿いの桜並木
春には約1kmにわたって桜が咲き誇り、地元住民の憩いの場として親しまれています。
4. 地域の魅力と暮らしやすさ
実は、お子さま以上に大切なのが「保護者の接し方」です。以下のようなサポートをしていただくと、歯医者デビューがよりスムーズになります。
-
交通アクセスの良さ
京王線・小田急線・モノレールが交わる交通の要所で、新宿まで約30分という利便性。
バス路線も充実しており、多摩エリアの主要都市への移動もスムーズです。 -
教育・子育て環境の充実
多摩市は教育・福祉に力を入れており、保育園から大学まで幅広い教育機関が揃っています。
特に、中央大学・多摩美術大学などのキャンパスも近く、学生の街としても活気があります。 -
医療・福祉体制
総合病院をはじめ、専門クリニックや介護施設も多く、安心して暮らせる地域医療環境が整っています。
-
自然と都市が共存する街並み
多摩センターは「緑のネットワーク構想」により、公園や緑道が街中に点在しており、
自然の中で心地よく暮らせる都市として高く評価されています。
5. 地元グルメ・商業エリア
駅周辺には「丘の上パティオ」「ココリア多摩センター」「マグレブEAST・WEST」など、
商業施設やレストランが並び、買い物や食事を楽しむことができます。
また、地元のベーカリーやカフェも多く、休日には家族や友人と過ごす人で賑わいます。
6. 地域イベント
多摩センターでは年間を通して多彩なイベントが開催されます。
春の「多摩センターこどもまつり」、夏の「七夕まつり」、冬の「イルミネーションin多摩センター」など、
季節ごとの催しが街を彩り、地域のつながりを深めています。
特に冬のイルミネーションは都内でも有名で、幻想的な光景が多くの人を惹きつけます。
7. 多摩センター田中歯科医院の地域連携
多摩センター田中歯科医院は、この恵まれた環境の中で、
地域の皆さまに寄り添う「かかりつけ歯科医院」として日々診療を行っています。
虫歯や歯周病の治療はもちろん、予防やメンテナンスにも力を入れ、
お子さまからご高齢の方まで生涯を通じて安心して通える体制を整えています。
また、地域医療機関との連携や学校・福祉施設への協力も行い、
“お口の健康から地域の健康を支える” 歯科医療を実践しています。
8. まとめ
多摩センターは、自然・文化・利便性が見事に融合した魅力的な街です。
都心に近く、暮らしやすさと落ち着きを兼ね備えたこの地域で、
多摩センター田中歯科医院は、患者様一人ひとりの笑顔と健康を守るパートナーであり続けます。
これからも地域の皆さまと共に歩み、安心・信頼の医療を提供してまいります。